Exciting news for horse owners of the Manning Valley and mid-north coast! We now offer a digital radiography (x-rays) service for horses.
Previously, local horse owners needed to travel to a vet hospital in the Hunter Valley, to access this modern imaging service. Now, we can offer it right here at home, saving you a long trip, when you need to diagnose your horse’s lameness, medical or dental condition.
We can perform xrays at our spacious equine facility at our premises in Wingham, with float parking available.
 If you prefer us to see your horse on-farm, we can also travel to your property, with regular run days and visits available to Wingham, Taree and all across our Manning region. We also accept referrals for imaging, from the greater mid-north coast – Port Macquarie / Wauchope, Gloucester and further afield.
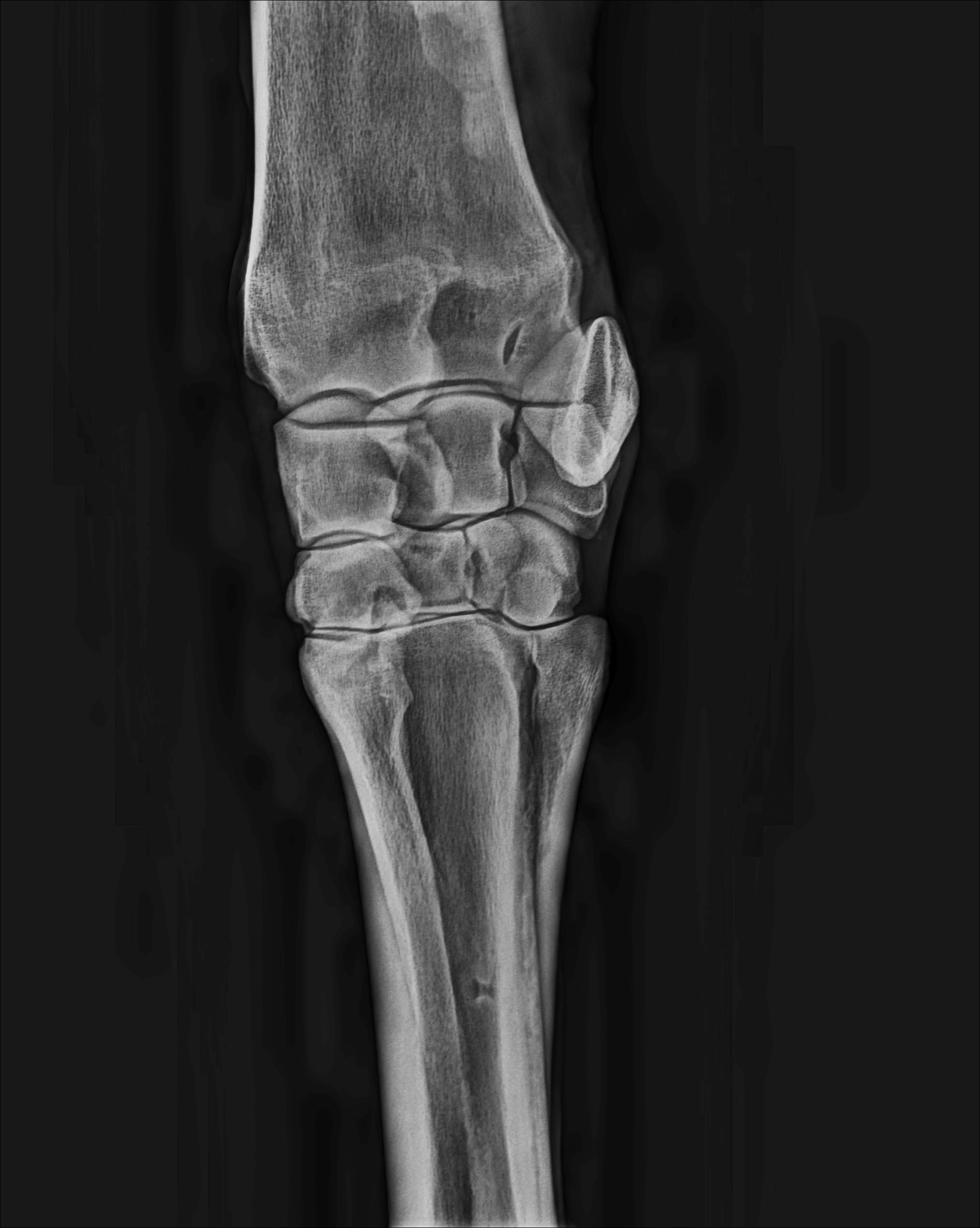
We have been blown away by the image quality with our new equipment. This improves our ability to diagnose musculoskeletal and joint issues causing lameness in horses, as well as a range of other medical conditions.
Instant processing of x-ray images 
(within less than 3 seconds of taking them!), allowing us to diagnose conditions then and there
Fast workflow 
We can take xray series of multiple joints/legs, as needed, within the one visit.
Advanced imaging capability
We can take a rapid-fire series of images, to highlight blood flow through an area such as the foot – for example, a contrast venogram to investigate the severity of a case of laminitis (founder).
Ability to modify images after processing
We are able to highlight different anatomical features within the one image, improving diagnosis of lameness, medical conditions and dental conditions.
Ability to quickly and easily send images by email
We can send images by email to horse owners, or for a second opinion – e.g. specialist veterinary surgeons.
Highly portable
So, if your horse has a niggle, or persistent lameness (limp) or foot / leg / joint problem, and you’ve always wondered what may be causing it (but didn’t want to travel 3 hours each way to find out!), please give us a call or email today, and we can schedule an examination by one of our vets, and x-rays can be taken as needed. 
We have regular run days and can also schedule visits to Wingham, Taree, Krambach, Nabiac, Old Bar, Oxley & Mitchell Island, Cundletown, Coopernook, Lansdowne, Bootawa, Tinonee, Cundletown, Hannam Vale, Harrington and Bulahdelah.
There are certain requirements to be met when we X-ray horses at a stable or on farm. These are as follows:
Area should be dry and protected from the elements (if rain and wind are predicted)
The surface should be firm and level (preferably paved or concrete)
Area should be spacious enough to comfortably accommodate 3 people, 1 horse and the equipment
A handler and second person will be needed to assist the Vet
The horse will be sedated for the procedure
Protective X-ray clothing MUST be worn by all persons involved
Pregnant women and persons younger than 16 shall not be allowed to assist when taking X-rays
If most of the above criteria cannot be met it is advisable to transport the horse to us at the vet clinic.
We look forward to working with you and your horse soon. If you have any questions about this exciting new equine veterinary service, please reach out to us on 6557 0000 or by email at [email protected]
 
		 
		 
		          